GE HealthCare, Gentuity Deal to Boost Precision Heart Imaging Access
- $33.6 million: Gentuity's estimated annual revenue, highlighting its commercial-stage growth.
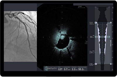
- 55% smaller: Gentuity's Vis-Rx® PRIME Micro-Imaging Catheter is 55% smaller than competitors, enabling access to previously inaccessible lesions.
- $400 billion: The global intravascular imaging market, emphasizing the partnership's strategic significance.
Experts would likely conclude that this partnership significantly enhances precision in cardiac interventions by combining Gentuity’s advanced HF-OCT imaging technology with GE HealthCare’s extensive distribution network, ultimately improving patient outcomes and standardizing care across U.S. catheterization labs.
GE HealthCare and Gentuity Forge Alliance to Elevate U.S. Cardiac Care
SUDBURY, MA – February 25, 2026 – In a significant move poised to enhance the precision of cardiac interventions across the United States, Gentuity LLC today announced a commercial collaboration with global medical technology giant GE HealthCare. The partnership is set to expand the availability of Gentuity’s advanced High-Frequency Optical Coherence Tomography (HF-OCT) imaging system, giving more cardiologists access to a tool designed to provide an unprecedentedly clear view inside a patient's coronary arteries.
This strategic alliance will leverage GE HealthCare’s extensive network and deep relationships with cardiac catheterization labs nationwide. GE HealthCare will act as a conduit, connecting its vast customer base with Gentuity’s next-generation Vis-Rx® PRIME Micro-Imaging Catheter and HF-OCT system. The shared goal is to standardize a higher level of care for percutaneous coronary interventions (PCIs), the common procedures used to open clogged heart arteries, by equipping physicians with superior imaging for more precise planning and treatment.
A New Lens on Coronary Disease
For decades, interventional cardiologists have relied on angiography—a type of X-ray—to guide stent placement. While effective, angiography provides a two-dimensional shadow of the artery, leaving room for ambiguity. Intravascular imaging, which places a miniature camera inside the vessel, offers a far more detailed, cross-sectional view. Gentuity’s HF-OCT technology represents the cutting edge of this field.
Optical Coherence Tomography uses light to create high-resolution images, providing detail at a microscopic level that is superior to older intravascular ultrasound (IVUS) technology. This allows physicians to precisely measure vessel dimensions, characterize plaque composition (e.g., fibrous, calcified, or lipid-rich), and confirm that a stent is properly sized, positioned, and fully expanded against the artery wall. Clinical evidence has consistently shown that OCT-guided PCIs lead to better outcomes, including a reduced risk of stent failure and major adverse cardiovascular events.
What sets Gentuity's system apart is its technical innovation. The Vis-Rx® PRIME Micro-Imaging Catheter is touted as the world's smallest, with a diameter of just 1.8 French (approximately 0.6 mm). This ultra-low profile is 55% smaller than leading competitors, enabling it to navigate and image extremely narrow and complex lesions that were previously inaccessible. Furthermore, the system can perform a rapid 100-millimeter scan of an artery in a single, one-second pullback, providing a comprehensive view for real-time decision-making without significantly extending procedure time.
A Strategic Synergy in a Competitive Market
The collaboration is a textbook example of strategic synergy. For Gentuity, a commercial-stage company with an estimated annual revenue of around $33.6 million, the partnership provides an invaluable shortcut to market penetration. Building a national sales and support network is a capital-intensive and time-consuming endeavor. By aligning with GE HealthCare, Gentuity gains immediate access to one of the largest and most established sales channels in the medical device industry, dramatically accelerating the adoption of its technology.
The global intravascular imaging market, valued at over $400 billion, is highly competitive, with established players like Abbott, Philips, and Boston Scientific holding significant market share. While IVUS has traditionally dominated, the OCT segment is the fastest-growing, driven by its superior resolution. This partnership allows Gentuity’s differentiated technology to compete on a much larger stage.
For GE HealthCare, the alliance strengthens its already comprehensive portfolio of interventional cardiology solutions. The company can now offer its cath lab customers—who use GE HealthCare’s imaging systems, monitoring equipment, and software—a seamlessly integrated, best-in-class intravascular imaging option. This move enhances GE HealthCare’s value proposition as a one-stop-shop for building and equipping a state-of-the-art cath lab, helping it fend off competitors and deepen its client relationships.
"The relationship with GE HealthCare represents an important opportunity to bring the benefits of HF-OCT intravascular imaging to a wider set of physicians and patients in the U.S.," said Desmond Adler, President of Gentuity, in a statement. "Together, we are enabling broader access to technologies designed to enhance clinical decision-making and optimize patient outcomes today."
Jyoti Gera, CEO of CardioVascular and Interventional Solutions at GE HealthCare, echoed this sentiment. "We are excited to announce Gentuity's innovative imaging technology together with our intelligent, connected cath lab solutions to support more precise PCI planning," Gera stated. "This new agreement builds on our strong existing relationship and will help bring enhanced intraprocedural visualization to more clinicians."
Expanding Access and Elevating Standards
Perhaps the most profound impact of this collaboration will be on healthcare accessibility and quality. Advanced medical technologies often debut in major academic medical centers, taking years to trickle down to smaller community hospitals and regional clinics. This partnership has the potential to flatten that adoption curve.
By making Gentuity's HF-OCT system available through GE HealthCare's sales channels, the technology becomes more accessible to a broader range of facilities. Hospitals that already have contracts with GE HealthCare for their primary imaging systems may find it easier to procure and integrate this advanced diagnostic tool. This could help democratize precision cardiology, ensuring that a patient’s treatment is guided by the best possible information, regardless of where they receive care.
Recent clinical data supports the value of this technology. A multicenter study published in March 2025 highlighted the system's reduced-size catheter and faster pullback as providing reliable, high-quality imaging that could improve PCI outcomes. Another case series from June 2024 confirmed its excellent deliverability and usability in routine clinical practice, particularly in navigating both small and large-diameter vessels. With FDA 510(k) clearance already secured, the technology is proven and ready for broad deployment.
The two companies have already begun showcasing their integrated approach, appearing together at the recent Transcatheter Cardiovascular Therapeutics (TCT) conference. They plan to exhibit jointly again at the upcoming Cardiovascular Research Technologies (CRT) conference in March, signaling a strong and unified market presence as they begin this new chapter in advancing cardiovascular care.
